Hands-on Course

Composite Resin

Posterior and Anterior Stratification and Injection

Dr. VASCO NUNES DA SILVA

Hands-on Course

Composite Resin

Posterior and Anterior Stratification and Injection

Dr. VASCO NUNES DA SILVA

“Most dentists know how to do restorations. Few know how to make them unforgettable.” This theoretical and laboratory course prepares you to carry out direct restorations in composite resin with aesthetic excellence and predictability, in a simple, didactic way and with individual follow-up. More than technique: you will learn how to turn your clinical results into a real competitive advantage. Not carrying out this training means continuing to invest time, effort and material in procedures that could be more efficient, valued and satisfactory for both you and the patient.

“Most dentists know how to do restorations. Few know how to make them unforgettable.”

This theoretical and laboratory course prepares you to carry out direct restorations in composite resin with aesthetic excellence and predictability, in a simple, didactic way and with individual follow-up. More than technique: you will learn how to turn your clinical results into a real competitive advantage.

Not carrying out this training means continuing to invest time, effort and material in procedures that could be more efficient, valued and satisfactory for both you and the patient.

LANGUAGE

Portuguese

CITY

Curitiba - Brazil

DURATION

24 hours

CERTIFICATE

SIGO

MATERIALS AND INSTRUMENTS

Provided by

BENEFITS OF TRAINING

Mastery of Advanced Techniques with Practical Application Take part in a training course that integrates the latest, most effective techniques adapted to modern clinical practice, with a focus on realistic simulations that reflect the challenges of everyday dentistry. Comprehensive Mastery of Restorative Techniques Develop skills in cavity preparations (Classes I to V), rubber dam isolation, use of matrices, wedges and contact points, as well as layering techniques, cusp coverage and polishing, ensuring aesthetic and functional results of excellence. Professional Advancement with Market Differentiation Learn to apply composite resins and adhesive protocols in complex rehabilitation cases, including composite injection, transparent silicone keys and increase of vertical dimension of occlusion (VDO), raising your technical level and professional recognition. Guidance from an International Specialist Receive direct instruction from Dr Vasco Nunes da Silva, an international reference in Restorative Dentistry, with extensive clinical and scientific experience recognised worldwide. SIGO Certification (European Certificate) Obtain a certificate issued by SIGO (Information and Management System of Educational and Training Provision), a system coordinated by GEPE – Ministry of Education and Science, as established in Ordinance No. 474/2010, thus enjoying national and international recognition (in accordance with Directives 89/48 and 92/51 EEC).

PROGRAMME CONTENT

  • Indications;
  • Treatment Planning;
  • Composite Resins;
  • Adhesive Protocols;
  • Cavity Preparation;
  • Rubber Dam Isolation;
  • Restorative Techniques and Materials;
  • Matrix Systems, Wedges, and Contact Points;
  • Dental Anatomy;
  • Cusp Coverage;
  • Polishing Technique;
  • Clinical Case Discussion;
  • Class I and II Cavity Preparation;
  • Rubber Dam Isolation;
  • Matrixing, Wedging and Contact Points;
  • Injection Moulding Practice;
  • Cusp Coverage;
  • Tooth Layering Technique;
  • Finishing and Polishing;
  • Class III, IV and V Cavity Preparation;
  • Dental Anatomy and Tooth Sculpture;
  • Composite Injection in Complex Rehabilitation Cases;
  • Vertical Dimension of Occlusion (VDO) Increase;
  • Transparent Silicone Keys;
  • Injection Technique;

WHAT WILL YOU LEARN IN THIS TRAINING?

Handling and Selection of Composites
  • Learn to handle and work with different brands of composite resins.
  • Understand the nomenclature of each system.
  • Know how to select resin shades, taking into account their optical properties.
Optical and Aesthetic Properties
  • Understand opacity, translucency, and the optical properties of teeth.
  • Apply aesthetic clinical solutions in the anterior region using composite resins.
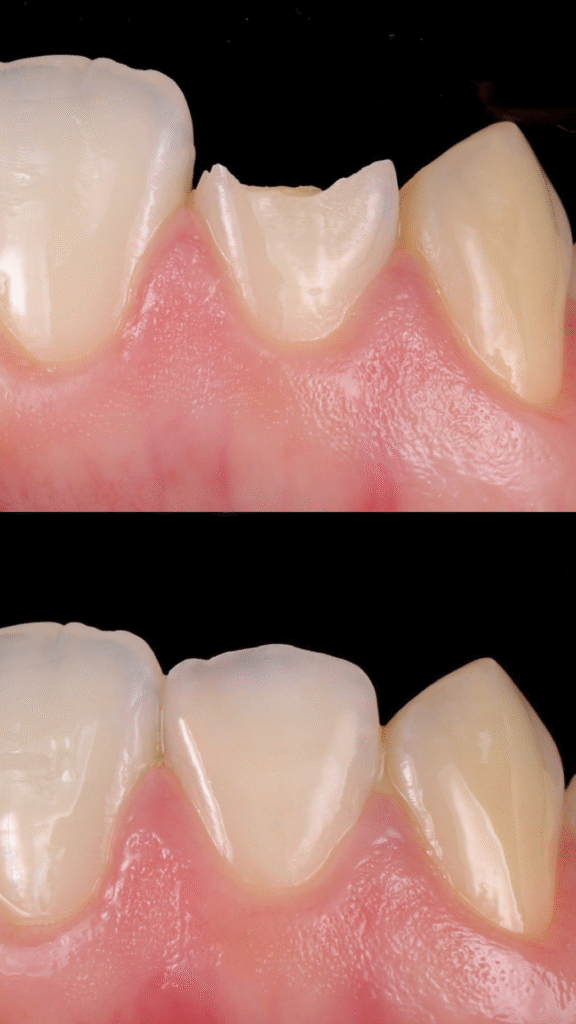
  • Carry out Class IV restorations with incisal effects, natural-looking veneers, and re-anatomisation of conoid teeth.
  • Define strategies for veneers on discoloured teeth, restoring natural appearance and aesthetics.
Layering and Finishing
  • Plan and execute the layering process in restorations.
  • Follow the correct step-by-step procedure for finishing, texturing, and polishing the restorations.
Posterior Restorations
  • Perform Class I and II posterior restorations with occlusal anatomy.
  • Use tints in posterior restorations to ensure a natural result.
  • Learn how to avoid high spots in occlusion.
Advanced Techniques
  • Use bulk-fill resins efficiently and effectively, optimising clinical procedures.

KNOWS THE TRAINER

Dr. Vasco Nunes da Silva

Master of Dental Medicine

  • Master’s Degree in Dentistry from the Instituto Superior de Ciências da Saúde Egas Moniz (ISCSEM), 2012
  • Assistant Dentist in the Conservative Dentistry I and II curricular units at the Instituto Superior de Ciências da Saúde Egas Moniz (ISCSEM), since 2014
  • Member and invited speaker at Be International Dental Expert (BeIDE)
  • Postgraduate in Orthodontics – Instituto Eduardo Prado, Lisbon, Portugal, 2015
  • Certified Invisalign Provider, since 2015
  • Postgraduate Programme FACE/Roth-Williams – Advanced Multidisciplinary Orthodontics, 2016
  • Lecturer in the Postgraduate Course in Advanced Biomimetic Oral Rehabilitation
  • Master’s Degree in Dentistry from the Instituto Superior de Ciências da Saúde Egas Moniz (ISCSEM), 2012
  • Assistant Dentist in the Conservative Dentistry I and II curricular units at the Instituto Superior de Ciências da Saúde Egas Moniz (ISCSEM), since 2014
  • Member and invited speaker at Be International Dental Expert (BeIDE)
  • Postgraduate in Orthodontics – Instituto Eduardo Prado, Lisbon, Portugal, 2015
  • Certified Invisalign Provider, since 2015
  • Postgraduate Programme FACE/Roth-Williams – Advanced Multidisciplinary Orthodontics, 2016
  • Lecturer in the Postgraduate Course in Advanced Biomimetic Oral Rehabilitation

TRAINING
OBJECTIVES

The course by Dr Vasco Nunes da Silva goes far beyond teaching techniques: it transforms composite resin restorations into true personalised works of art. With a solid theoretical foundation and a carefully structured hands-on component, participants develop not only the ability to sculpt teeth with function, aesthetics and naturalness, but also acquire a more refined clinical eye in Dentistry. Every detail is designed to achieve precise, long-lasting results of high aesthetic value. More than a technical training, this course represents a genuine transformation in the way Dentistry is approached and practised, bringing together science, sensitivity and excellence in every procedure.

TRAINING
OBJECTIVES

The course by Dr Vasco Nunes da Silva goes far beyond teaching techniques: it transforms composite resin restorations into true personalised works of art.

With a solid theoretical foundation and a carefully structured hands-on component, participants develop not only the ability to sculpt teeth with function, aesthetics and naturalness, but also acquire a more refined clinical eye in Dentistry.

Every detail is designed to achieve precise, long-lasting results of high aesthetic value.

More than a technical training, this course represents a genuine transformation in the way Dentistry is approached and practised, bringing together science, sensitivity and excellence in every procedure.

INVESTMENT

7380R$
  • 3-day course
  • 24 hours of theoretical/practical classes
  • 25Topics
  • SIGO certificate

Copyright © 2023 Dental Education Science. All rights reserved.